Toxina Botulínica
Radiofrecuencia
Tratamientos Skinlight
Ultracavitacion
Presoterapia
Rejuvenecimiento
Lunares, Nevus y Verrugas
Láser Lipólisis
Depilación
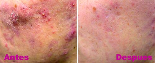
Acné y Cicatrices
Hiperpigmentaciones
Extracción de Biopolímeros
Vacuna Anti-aging
Medicina Ortomolecular
Medicina Biológica